티스토리 뷰
목차

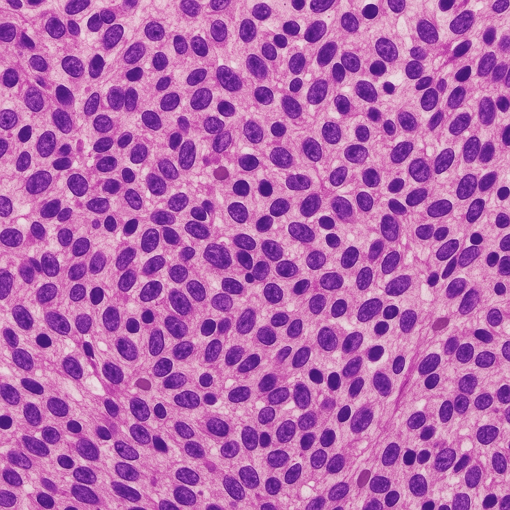
상의세포종은 중추신경계에 발생하는 드문 신경계 종양으로, 주로 척수 내 중심부에 발생하여 신경 기능에 심각한 영향을 미치는 것으로 알려져 있습니다. 이 질환은 전체 신경교종 중 2~4% 정도를 차지하는 희귀 암종으로, 발생 연령은 주로 소아와 청소년기에 집중되지만 성인에서도 드물게 진단됩니다. 상의세포종은 종양의 위치, 크기, 악성도 등 다양한 요인에 따라 치료 전략이 결정되며, 이에 따른 성공률도 큰 차이를 보입니다. 본 글에서는 수술, 방사선 치료, 항암 치료 각각의 방법별 치료 성공률과 최신 임상 연구 자료, 실제 사례를 중심으로 상의세포종 치료에 대한 깊이 있는 정보를 제공하고자 합니다.
수술 성공률 분석
상의세포종 치료에서 수술은 가장 중요한 1차 치료법으로 간주됩니다. 수술의 목적은 종양의 최대한 제거와 함께 신경학적 기능의 보존입니다. 그러나 상의세포종은 종종 척수 중앙부에 깊게 자리 잡고 있어 수술적 접근이 매우 어려운 경우가 많습니다. 종양이 척수 신경 섬유 속에 삽입된 형태로 나타나기 때문에, 수술 시 신경 조직의 손상을 최소화하면서 최대한의 종양 제거를 달성하는 것이 큰 도전 과제입니다. 연구에 따르면 상의세포종에서 완전 절제율은 평균적으로 30~40%에 불과하며, 수술 후 5년 생존율은 완전 절제 시 60~70%에 달하는 것으로 보고되고 있습니다. 반면 부분 절제나 생검에 그친 경우 5년 생존율은 40% 이하로 떨어집니다. 수술 후 합병증은 신경 기능 장애, 감각 저하, 운동 마비 등이 포함되며, 절제 범위와 직결됩니다. 최근에는 신경 모니터링 기술과 내시경 수술법의 발전으로 수술 중 신경 손상을 최소화하고, 수술 후 합병증을 줄이는 방향으로 발전하고 있습니다. 예를 들어, 수술 중 신경 전기 생리학 모니터링을 통해 중요한 신경 신호의 변화를 실시간으로 감지함으로써 외과의가 수술 전략을 즉각 조정할 수 있습니다. 이로 인해 부분 절제 수술의 경우에도 과거보다 기능적 예후가 개선되고 있습니다. 그러나 수술 성공률을 단순히 종양 제거율로 판단하기보다는 환자의 삶의 질, 신경 기능의 보존 여부 등 다각도로 평가해야 합니다. 한편, 일부 연구에서는 1차 수술에서 완전 절제를 이루지 못한 경우 재수술 여부가 생존율에 미치는 영향에 대한 분석이 이루어졌으며, 재수술이 일부 환자군에서 생존 기간 연장에 긍정적 영향을 준다는 결과도 보고되고 있습니다. 이처럼 상의세포종 수술은 매우 복잡하고 환자 개별 상황에 따라 달라지는 맞춤형 접근이 필수적입니다.
방사선 치료 효과
방사선 치료는 상의세포종에서 수술 이후 보조적 치료 또는 단독 치료로 시행되며, 수술로 종양을 완전 제거하지 못했거나 수술이 불가능한 위치에 있을 때 중요한 치료 옵션이 됩니다. 상의세포종은 방사선 감수성이 비교적 낮은 종양으로 분류되긴 하지만, 저등급 상의세포종에서는 방사선 치료로 종양의 성장 속도를 늦추고 증상 진행을 억제하는 효과가 입증되었습니다. 통계적으로 방사선 치료만 시행된 경우 무병 생존 기간은 평균 12~24개월로 보고되며, 일부 저등급 상의세포종 환자에서는 5년 생존율이 50% 이상에 달한다는 연구 결과도 있습니다. 방사선 치료의 효과는 종양의 등급, 크기, 위치뿐 아니라 환자의 연령, 전신 건강 상태, 치료받는 방사선 기법 등에 영향을 받습니다. 최근에는 IMRT(강도 조절 방사선치료), SRS(정위적 방사선수술), 프로톤 빔 치료 등 고정밀 방사선 치료 기술이 도입되어 종양 주변의 정상 조직 손상을 최소화하면서 종양 부위에 높은 방사선량을 집중적으로 전달할 수 있게 되었습니다. 이로 인해 과거보다 합병증은 줄고 치료 성공률은 향상되고 있습니다. 그러나 방사선 치료 후 부작용으로는 피로, 두통, 인지 기능 저하, 감각 이상 등이 발생할 수 있으며, 장기적으로 방사선 유발 신경 손상, 방사선괴사 등의 위험도 존재합니다. 특히 소아 환자에서는 성장 발달에 영향을 미칠 수 있으므로 신중한 접근이 필요합니다. 최근 연구에 따르면 방사선 치료 후 일정 기간 이후 종양이 다시 성장하거나 방사선에 내성을 보이는 사례도 보고되고 있어, 치료 후 지속적인 영상학적 추적 관찰과 필요 시 추가 치료 계획 수립이 권장되고 있습니다. 또한 일부 최신 연구에서는 방사선과 항암 치료의 병행 요법이 고등급 상의세포종에서 생존율 향상에 기여할 수 있다는 가능성이 제기되고 있으며, 현재 다수의 임상시험이 진행 중입니다. 이처럼 방사선 치료는 단순히 종양 억제뿐 아니라 장기 관리 전략의 일환으로 중요한 역할을 하고 있습니다.
항암 치료 통계
항암 치료는 상의세포종에서 제한적으로 사용되며, 주로 고등급 상의세포종이나 재발성, 진행성 질환에서 고려됩니다. 상의세포종은 일반적으로 항암제에 대한 내성이 강한 종양으로 평가되지만, 최근 표적 항암제와 면역 치료제의 개발로 새로운 가능성이 열리고 있습니다. 기존 항암제 중 테모졸로마이드(temozolomide)가 가장 널리 사용되며, 일부 연구에서는 테모졸로마이드 병행 치료 시 평균 생존 기간이 14~20개월로 보고되었고, 일부 환자군에서는 2년 이상의 생존 사례도 나타났습니다. 항암 치료의 효과는 MGMT 유전자 메틸화 상태, IDH 돌연변이 여부, ATRX 발현 여부 등 종양의 분자생물학적 특성에 따라 크게 달라지므로 최근에는 환자 맞춤형 치료법이 강조되고 있습니다. 예를 들어 MGMT 메틸화가 확인된 상의세포종 환자는 테모졸로마이드에 더 좋은 반응을 보이는 것으로 알려져 있어, 치료 계획 수립에 있어 분자 진단 검사가 중요하게 작용합니다. 면역 치료 분야에서도 PD-1 억제제, CAR-T 세포 치료 등이 실험적 단계에서 상의세포종에 적용되고 있으며, 일부 소규모 연구에서는 임상적 반응이 보고되었으나 아직 표준 치료로 자리 잡지는 못했습니다. 최신 통계에 따르면 항암 치료 단독으로는 완치를 기대하기 어렵지만, 방사선 치료와 병행 시 생존 기간을 연장하고 종양 성장 억제에 도움이 되는 것으로 나타났습니다. 그러나 항암 치료는 심각한 부작용이 동반될 수 있으며, 대표적으로 오심, 구토, 면역 억제, 골수 억제, 감염 위험 증가 등이 포함됩니다. 따라서 치료 계획 수립 시 환자의 전반적인 신체 상태, 치료 의지, 부작용에 대한 수용 가능성 등을 의료진과 충분히 상의해야 합니다. 향후 상의세포종 치료에서 표적 치료제, 면역 치료제, 분자 진단 기반 맞춤형 치료가 점차 확대될 것으로 예상되며, 이에 대한 임상시험 참여 여부도 고려할 수 있습니다.
결론
상의세포종은 희귀하고 치료가 어려운 신경계 종양으로, 수술, 방사선 치료, 항암 치료 각각의 성공률과 한계가 분명히 존재합니다. 환자의 나이, 종양의 위치, 악성도, 분자생물학적 특성에 따라 최적의 맞춤형 치료 전략을 수립하는 것이 중요합니다. 최신 치료법과 임상시험 정보를 의료진과 적극적으로 상의하고, 치료 과정에서 신체적, 정신적 지지를 받을 수 있는 환경을 마련하는 것이 환자와 가족 모두에게 도움이 됩니다. 다양한 치료 옵션과 최신 연구 성과를 충분히 검토하여, 가장 적절한 치료 계획을 세우